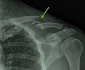
שבר בקלביקולה – שבר בעצם הבריח אוקטובר 16, 2022 אין תגובות שבר בקלביקולה / שבר בעצם הבריח, ברוכבי אופניים תחרותיים – תוך כמה זמן חוזרים לרכב? קרא עוד »